Fractura De La Diáfisis Del Cúbito Y Del Radio
Una fractura de la diáfisis del cúbito y del radio significa que ambos huesos largos del antebrazo (cúbito y radio) están rotos en su parte media, llamada diáfisis. Es una lesión común, especialmente en niños y adultos jóvenes.
¿Qué significa "diáfisis"?
La diáfisis es la parte principal y cilíndrica de un hueso largo. Imagina un hueso como un hueso de pollo. La diáfisis es la parte larga y recta entre los extremos (epífisis). Entonces, cuando hablamos de una fractura de la diáfisis del cúbito y del radio, nos referimos a una fractura en la parte media de estos huesos, no en las articulaciones de la muñeca o el codo.
¿Por qué se fracturan el cúbito y el radio juntos?
Es común que ambos huesos se fracturen al mismo tiempo debido a su estrecha relación. El cúbito y el radio están conectados por una membrana interósea. Cuando se aplica una fuerza lo suficientemente grande, es probable que la fuerza se transmita y fracture ambos huesos. Piensa en un par de palitos de helado pegados; si intentas romperlos, generalmente se romperán los dos al mismo tiempo.
¿Cómo ocurre esta fractura?
Estas fracturas generalmente son el resultado de un traumatismo directo, como:
- Una caída sobre el brazo extendido.
- Un golpe directo al antebrazo, por ejemplo, durante un accidente deportivo o una pelea.
- Un accidente automovilístico.
¿Cuáles son los síntomas?
Los síntomas más comunes de una fractura de la diáfisis del cúbito y del radio son:
- Dolor intenso en el antebrazo.
- Deformidad visible del antebrazo. Puede verse torcido o angulado.
- Inflamación y hematomas (moretones).
- Incapacidad para mover el antebrazo o la mano.
- Crepitación (un crujido que se siente o escucha cuando se mueve el brazo).
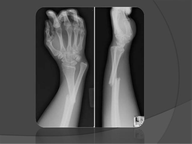
¿Cómo se diagnostica?
El diagnóstico generalmente se realiza mediante un examen físico realizado por un médico y radiografías (rayos X). Las radiografías mostrarán la ubicación y el tipo de fractura.
¿Cuál es el tratamiento?
El tratamiento depende de la gravedad y el tipo de fractura. Las opciones incluyen:
- Inmovilización con yeso o férula: Si los huesos están alineados correctamente o se pueden realinear, se puede usar un yeso para mantenerlos en su lugar mientras sanan.
- Cirugía: Si los huesos están muy desplazados (fuera de lugar) o si la fractura es inestable, puede ser necesaria la cirugía. En la cirugía, se pueden usar placas, tornillos o clavos para mantener los huesos en su lugar mientras sanan.
Después del tratamiento, la fisioterapia es a menudo necesaria para recuperar la fuerza y el rango de movimiento del antebrazo.
Es crucial buscar atención médica inmediata si sospechas una fractura en el antebrazo. Un diagnóstico y tratamiento tempranos pueden ayudar a garantizar una buena recuperación.
